隱形牙套-隱適美Invisalign

隱適美配戴守則
建議除了用餐及潔牙時取下隱適美隱形牙套,其餘時間盡可能持續佩戴隱適美(每日20至22小時尤佳),以達到理想的矯正效果,因此需要患者的高度自律性以及配合度。隱適美大多規劃1年至1年半之間完成?,根據每個人的牙齒狀況而有所不同。
由於牙齒位置終其一生都有移動現象,因此療程結束後,維持器的配戴亦相當重要,才能使牙齒再次移位的情況降低。
隱適美相較傳統矯正優缺點
優點:透明美觀、異物感較低、容易清潔、痠脹感較輕微、飲食無限制。
缺點:價格較昂貴、牙套遺失風險、需自律性較高

打造獨一無二的專屬笑容
使用 iTero 與 ClinCheck 軟體,不需要憑空想像
您的醫生可以使用我們的結果模擬器,清楚呈現出您從第一組牙套到全新笑容的過程,包括最細微的移動。
- 3D 的力量3D 視覺介面能讓醫生為您訂製專屬計畫
- 設計軟體演算法能幫忙計算出過程中需要的力量
- 一致性搭配醫師的設計,軟體能確保每一步都遵循最佳順序及時機
隱適美為您完美量身打造

ADVANTAGE
從瞭解隱適美矯正系統的優點開始
幾乎看不見
隱適美隱形牙套幾乎是看不見的。與傳統的可以看到鐵線和金屬矯正器相比,永遠都可以充滿信心地微笑。
可摘式
隱適美隱形牙套採用 SmartTrack 彈性材料製成,與固定的傳統牙套不同,它非常易於移除和穿戴。現在,您可以隨時享用您最喜愛的美食。
疼痛減輕
SmartStage 和 SmartForce 技術可確保與可能刺激並導致疼痛的金屬牙套相比,在整個過程中只有漸進而溫和且有效的改變。
減少看診次數
與每3-4周訪問一次醫生的傳統牙套不同,隱適美只需每6-8週就診一次,讓您時間安排更充裕。
時間軸更明確
隱適美讓您看到每一個使用過程,讓您對牙套使用的持續時間有更明確的認知。傳統牙套只能在開始時給你大致的使用時間。
改善口腔健康
由於隱適美牙套是可拆卸的,因此您仍然可以按正常方式使用牙線和刷牙,而傳統的牙套可能會使您很難在金屬矯正器之間進行清潔,從而導致牙菌斑積聚和口腔衛生不佳。
隱適美案例

隱適美案例-廖小姐

隱適美案例-顏小姐

隱適美案例-陳先生

隱適美案例-王小姐
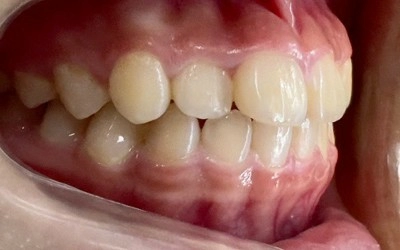
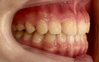
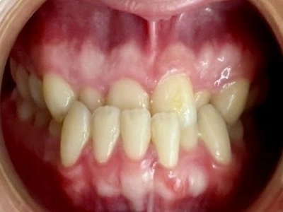
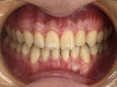
青少年矯正案例
術前

術後

術前

術後

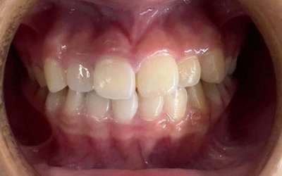
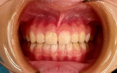
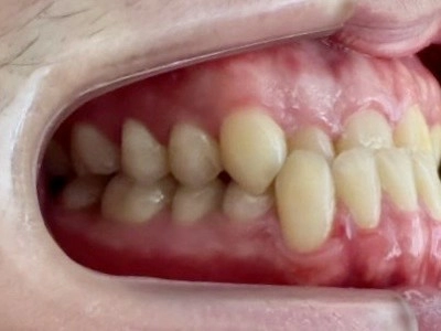
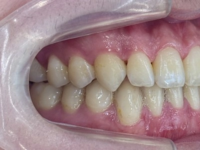
成人前牙錯咬(不拔牙矯正)
術前

術後

術前

術後


